Gum disease is one of the most common oral health issues, yet it often goes unnoticed until it becomes serious. The early stages may seem harmless, but ignoring the warning signs can lead to tooth loss, bone damage, and long-term dental complications. Understanding what to look for can make all the difference in protecting your smile.
Bleeding Gums Are Not Normal
One of the earliest and most overlooked signs of gum disease is bleeding gums. If you notice blood when brushing or flossing, it is not something to ignore or consider normal. Most people harm their teeth this way. Healthy gums should not bleed easily. This symptom is often an early indicator of gingivitis, the first stage of gum disease, where plaque buildup irritates the gum tissue.
Many people dismiss bleeding gums as a result of brushing too hard, but persistent bleeding is your body’s way of signaling inflammation and infection.
Persistent Bad Breath
Bad breath, or halitosis, that doesn’t go away even after brushing, flossing, or using mouthwash can be another warning sign. Gum disease creates pockets where bacteria thrive, producing unpleasant odors. If bad breath becomes a regular issue, it may be time to evaluate your gum health rather than just relying on mints or rinses.
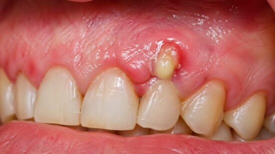
Red, Swollen, or Tender Gums

Healthy gums should appear firm and pink. When gums become red, swollen, or tender to the touch, it usually indicates inflammation. This discomfort may not always be painful, which is why many people ignore it. However, swelling is a key sign that your gums are fighting infection and need attention.
Gum Recession and Longer-Looking Teeth
If your teeth suddenly appear longer than before, it may not be your imagination. Gum recession occurs when the gum tissue pulls away from the teeth, exposing more of the tooth surface. This is a more advanced sign of gum disease and can increase sensitivity to hot and cold foods. It also creates more spaces for bacteria to accumulate, worsening the condition.
Loose or Shifting Teeth
As gum disease progresses, it can affect the underlying bone structure that supports your teeth. This can lead to teeth feeling loose or shifting out of place. At this stage, immediate dental attention is necessary to prevent tooth loss. Treatments may vary depending on severity, but early intervention is always more effective.
Pus or Signs of Infection

In more advanced cases, pus may form between the gums and teeth. This is a clear sign of infection and should never be ignored. It may also be accompanied by pain, swelling, or a bad taste in the mouth. These symptoms indicate that the disease has progressed beyond the early stage and requires professional treatment.
Why Early Detection Matters
Catching gum disease early can prevent irreversible damage. In its early stages, it is often reversible with proper oral hygiene and professional cleaning. However, once it advances to periodontitis, the damage to gums and bone becomes more difficult to manage.
Regular dental checkups play a crucial role in early detection. A dentist can identify signs you may not notice at home and recommend appropriate treatment before the condition worsens. In some cases, patients may be referred to an oral surgeon in Richmond, Indiana for specialized care when advanced procedures are needed.
Prevention Starts at Home
Good oral hygiene is the foundation of gum disease prevention. Brushing twice a day, flossing daily, and using antibacterial mouthwash can significantly reduce plaque buildup. A balanced diet and avoiding smoking also contribute to healthier gums. However, even with excellent home care, professional cleanings are essential. Dentists can remove hardened plaque (tartar) that cannot be cleaned with a toothbrush alone.
Final Thoughts
Gum disease often begins silently, but its warning signs are clear if you know what to look for. Bleeding gums, bad breath, swelling, and gum recession are all signals that should not be ignored. Early action can save your teeth, protect your health, and prevent costly treatments in the future. Taking your gum health seriously today can ensure a healthier smile for years to come.
